Cosmetic Dentistry in St. Augustine, FL
A confidence makeover with cosmetic dentistry
What is the first thing you notice about someone when first meeting someone? If it’s their smile, then you’re not alone. Studies suggest that our smiles are the first impression people have of us - and the longest-lasting.
When you look at your smile, are you happy with what you see? A chipped, yellowed or stained, crooked, or otherwise flawed smile can prevent people from seeing the true you. If you would like to transform your smile, you might be interested in cosmetic dentistry.
Over the past few years, cosmetic dentistry has become more popular, affordable, and reliable. Some cosmetic dental treatments can be done in just one dental visit! Many think cosmetic procedures are just for the rich and famous. However, cosmetic dental procedures are some of the most economical and impactful dental procedures on the market. They are accessible to anyone who wants to transform their smile and their confidence.
Cosmetic dentistry in St. Augustine, Florida starts with a visit to Gordon Dental Associates to talk to Dr. Jeremy Gordon about your goals.
- Your Smile Makeover Evaluation
- The Benefits of Cosmetic Dentistry
- Cosmetic Bonding
- Veneers
- Invisalign
- Teeth Whitening
- Tooth Replacement in St. Augustine, FL
- A Personalized Smile Design for Every Patient
Your Smile Makeover Evaluation
We always recommend that your cosmetic dental treatments begin with a personal evaluation to determine which aspects of your smile you would like to improve. We first look for underlying oral health issues like tooth decay, infection, gum disease, and more during your examination. If we find any dental problem, we will treat it immediately before applying a cosmetic treatment. You wouldn't apply a fresh coat of paint on a wall with a hole - we make sure to have a solid and healthy foundation before we can start decorating.
Dr. Gordon collaborates with you to create a personalized smile makeover plan. We may combine more than one cosmetic option to design your dream smile. If it's straighter, brighter teeth that you dream of, we have multiple options to suit your needs.
The Benefits of Cosmetic Dentistry
Cosmetic dentistry and restorative dentistry often overlap as we strengthen, protect, and enhance your smile. Dr. Gordon and his expert team of dental professionals work hard to improve both the function and appearance of your teeth and gums. Many St. Augustine patients combine multiple treatments to design their dream smile fully. We are always happy to work with our patients, so they get the most out of our cosmetic treatments.
Cosmetic dental procedures available to address any of the following issues you may be having trouble with include:
- Gaps between teeth
- Discolored teeth
- Crooked teeth
- Worn-down teeth
- Chipped or cracked teeth
- Gummy smile
- Misshapen teeth
- Missing teeth
There are various approaches depending on your particular case, but here are some of the more popular cosmetic procedures done at Gordon Dental Associates:
Cosmetic Bonding
Dental bonding is a procedure used to fix small cracks or chips in teeth or to help with discoloration. We can also use this cosmetic dental treatment to fill gaps between teeth or even change your tooth length and shape. The composite material (similar to what is used for tooth-colored fillings) is bonded directly to the teeth and then sculpted to fix whatever issue you may have.
Gordon Dental Associates can fix, close gaps, or otherwise cover up cosmetic issues, such as:
- Chipped teeth
- Oddly shaped teeth
- Stains or discoloration
- Enamel erosion
- Spaces between teeth
Veneers
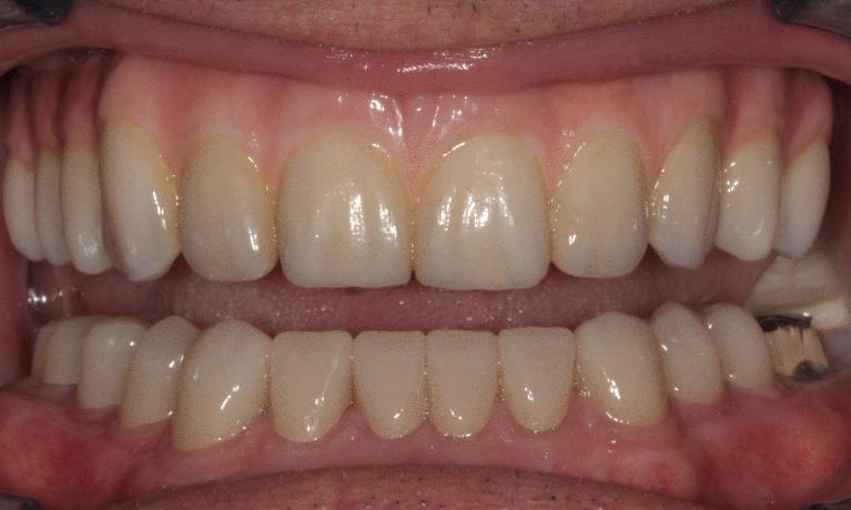
Dr. Gordon performs moderate etching prior to placement. Veneers can take a dull, discolored smile and dramatically transform it in as few as two visits - they are the best option for achieving a Hollywood caliber smile.
Veneers can take a dull, discolored smile and dramatically transform it in as few as two visits - they are the best option for achieving a Hollywood caliber smile.
Veneers are wafer-thin shells of porcelain that adhere to the front surface of your tooth, allowing us to camouflage any number of smile flaws in just two dental visits.
Invisalign
Invisalign® is a popular method of teeth straightening using a series of clear aligners instead of metal brackets and wires. If you have misaligned, unevenly spaced, or crooked teeth but can’t imagine living with metal brackets and wires, clear plastic aligners might be the perfect solution for you.
The look of traditional braces might put off many teens and professional adults who dream of a straighter smile. Clear aligners are fashioned from smooth plastic that is comfortable to wear, especially during physical activities like sports. In fact, it often doubles as a sports guard to additionally protect your teeth.
These aligner trays gently shift your teeth into place. As the name suggests, clear aligners are virtually invisible, meaning very few people will be able to see them. Patients can also remove them before meals, allowing them to enjoy all their favorite foods without altering their diet. Best of all, they can maintain their at-home oral health routine like daily brushing and flossing.
While straighter teeth are beneficial to a more attractive smile, the benefits extend deeper than the surface. Correctly aligned teeth are easier to brush and floss, reducing your risk of developing gum disease, tooth decay, or even painful issues with your jaw joint (TMJ). Invisible braces not only boost your self-esteem and appearance but your oral health as well!
Dr. Gordon can assess your smile and let you know if you are a good candidate for this type of teeth straightening.
Teeth Whitening
One of the most dramatic, popular, and affordable ways to enhance your smile is teeth whitening. In just an hour, you can dramatically improve the look of your teeth. It is normal for teeth to yellow and discolor over time from aging, diet, genetics, illness, and more.
Professional teeth whitening is a state-of-the-art solution for stained, discolored, or an otherwise dull smile. We will fit you with custom bleaching trays and send you home with a prescription-strength solution to help you achieve the level of whiteness you desire.
Tooth Replacement in St. Augustine, FL
Missing one or multiple teeth can completely change the appearance of your smile, not to mention your oral health. Left unreplaced, a missing tooth can result in bone loss, teeth that shift, and a misaligned and uneven bite.
Dr. Gordon and his knowledgeable dental team provide expert options for replacing your tooth, including dental bridges and dentures. These options, however, rest along the gumline and do not stimulate bone growth and deter bone loss. Dental implants are the only replacement option that also replaces your root.
This provides patients with a beautiful, natural-looking dental restoration that looks, feels, and functions like their existing teeth.
A Personalized Smile Design for Every Patient
Dr. Jeremy Gordon and his friendly dental team at Gordon Dental Associates are ready to talk to you about your smile design needs. They take great care to make sure they understand your goals and worries. Then, together, we will determine the best cosmetic procedures to suit your needs.
Dr. Gordon always takes your face structure, bite, and jawline into account when improving any smile. Your smile is in good hands with cosmetic dentist Dr. Jeremy Gordon in St. Augustine.