Gordon Dental Associates

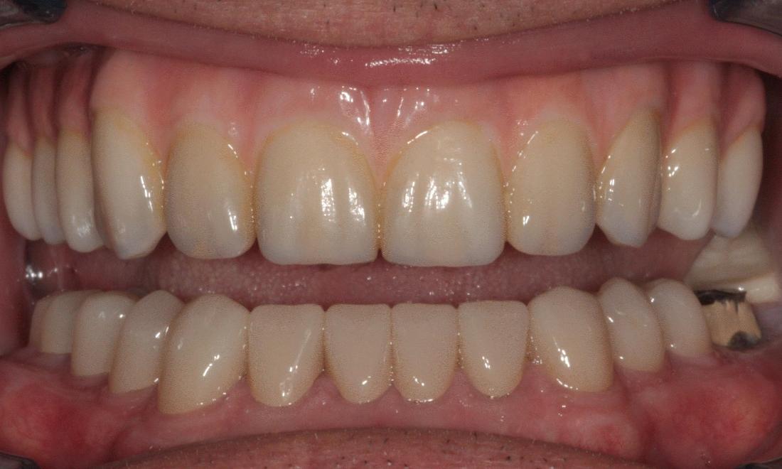
Fixed Implant Dentures help a patient with a long term issue of breaking teeth!

This 60 year old male wanted to improve his over all health with a permanent fix that will help him with eating. 

Don

“Everyone was very accommodating and professional. They got me in for an exam as soon as I called and were ready to do whatever needed to be done. Dr. Hutson did a great job. I could not be happier. Thank you all.”

Ready to book an appointment?
If you have difficulty using our website, please email us or call us at (904) 460-0999
View the ADA Accessibility Statement